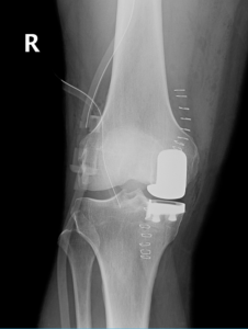
Unicompartmental knee replacement is a minimally invasive surgery in which only the damaged compartment of the knee is replaced with an implant. It is also called a partial knee replacement. The knee can be divided into three compartments: patellofemoral, the compartment in front of the knee between the knee cap and thigh bone, medial compartment, on the inside portion of the knee, and lateral compartment which is the area on the outside portion of the knee joint.
Traditionally, total knee replacement was commonly indicated for severe osteoarthritis of the knee. In total knee replacement all worn out or damaged surfaces of the knee joint are removed and replaced with new artificial parts. Partial knee replacement is a surgical option if your arthritis is confined to a single compartment of your knee.
Disease Overview
Arthritis is inflammation of a joint causing pain, swelling (inflammation), and stiffness.
Osteoarthritis is the most common form of knee arthritis in which the joint cartilage gradually wears away. It most often affects older people. In a normal joint, articular cartilage allows for smooth movement within the joint, whereas in an arthritic knee the cartilage itself becomes thinner or completely absent. In addition, the bones become thicker around the edges of the joint and may form bony “spurs”. All of these factors can cause pain and restricted range of motion in the joint.
Causes
The exact cause is unknown, however, there are a number of factors that are commonly associated with the onset of arthritis and may include:
- Injury or trauma to the joint
- Fractures of the knee joint
- Increased body weight
- Repetitive overuse
- Joint infection
- Inflammation of the joint
- Connective tissue disorders
Symptoms
Arthritis of the knees can cause knee pain, which may increase after activities such as walking, stair climbing, or kneeling. The joint may become stiff and swollen, limiting the range of motion. Knee deformities such as knock-knees and bow-legs may also occur.
Diagnosis
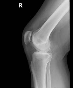
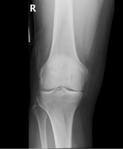
Your doctor will diagnose osteoarthritis based on the medical history, physical examination, and X-rays. X-rays typically show a narrowing of joint space in the arthritic knee.
Surgical procedure
Your doctor may recommend surgery if non-surgical treatment options such as medications, injections, and physical therapy have failed to relieve the symptoms.
During the surgery, a small incision is made over the knee to expose the knee joint. Your surgeon will remove only the damaged part of the meniscus and place the implant into the bone by slightly shaping the shin bone and the thigh bone. The plastic component is placed into the new prepared area and is secured with bone cement. Now the damaged part of the femur or thigh bone is removed to accommodate the new metal component which is fixed in place using bone cement. Once the femoral and tibial components are fixed in proper place the knee is taken through a range of movements. The muscles and tendons are then repaired and the incision is closed.
Post-Operative Care
You can walk with the help of a walker or cane after 24 hrs. after surgery. A physical therapist will advise you on an exercise program to follow to help maintain range of motion and restore your strength. You may perform exercises such as walking, swimming and biking but high impact activities such as jogging should be avoided.
Advantages
The advantages of unicompartmental knee replacement over total knee replacement include:
- Smaller incision
- Less blood loss
- Quick recovery
- Less post-operative pain
- Better overall range of motion
- Feels more like a natural knee
Unicompartmental knee replacement, also called a partial knee replacement is surgery to treat arthritis which is limited to one of the knee compartments. During the surgery, only the damaged compartment of the knee is removed and replaced with metal and plastic, leaving the remaining healthy cartilage and bone.



