Trauma
Common Fractures
Definition:
A bone is fractured when there is a break in the continuity of the bone cortex. Similar terms used to describe a fracture include broken, crack, greenstick or buckle; all are used to refer to the same thing – a broken bone. The break is often described by its location (i.e. bone) and its direction (horizontal, oblique, transverse).
How It Happens
Fractures can happen in a variety of ways. Most fractures are due to trauma, with others due to pathological conditions or overuse. Trauma can vary from high-energy injuries such as motor vehicle accidents to low energy injuries such as simple falls.
- Open or compound fracture – the skin overlying the fracture is also broken. Displaced or nondisplaced fracture – treatment options depend on whatever the broken bone is displaced or nondisplaced
- Comminuted Fracture – the bone is broken into multiple pieces.
- Avulsion fracture – a muscle or ligament pulls the bone away, fracturing it. • Fracture Dislocation – when a fractured bone is associated with a dislocation of a joint.
- Pathological fracture – a fracture through bone weakened by an underlying condition – e.g. cancer, osteoporosis.
- Stress fracture – a fracture due to overuse repetitive stresses and strains
Treatment Principles
The human body heals fractures by forming a blood clot that calcifies, connecting the broken pieces of bone. For a good recovery, the bones must be held in the correct position and protected while healing occurs. This may be simply by a plaster or a cast.
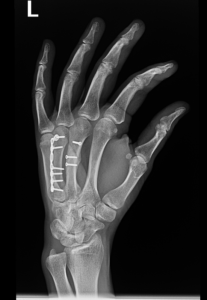
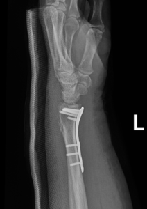
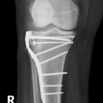
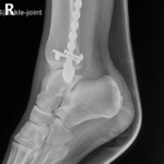
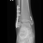
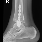
if the fracture is displaced, surgery may be needed to put the bone back into the correct position and fix the bone with Plates & screws or nails for adequate healing to occur.
Fractures that do not heal are called non-unions. Fractures that heal in the wrong position are called malunions. Non-unions and mal-unions may require further surgery to be corrected
Common Fractures
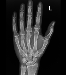
- Hand Fractures.
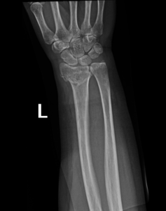
- Wrist Fractures.
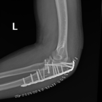
- Elbow Fractures.
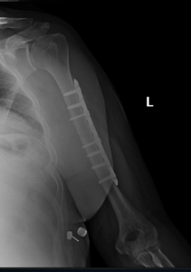
- Humerus Fractures.
- Shoulder Fractures.
- Clavicle Fractures.
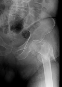
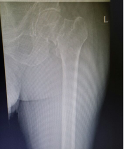
- Hip Fractures.
- Femur Fractures.
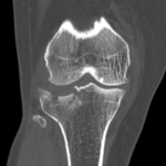
- Tibial Plateau Fractures.
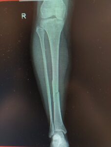
- Tibia Fractures.
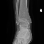
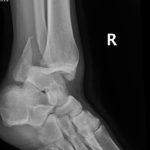
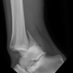
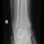
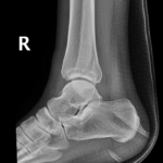
- Ankle Fractures.
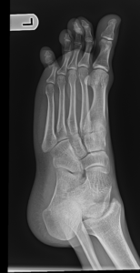
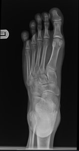
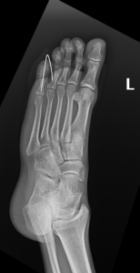
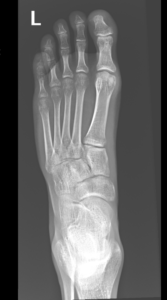
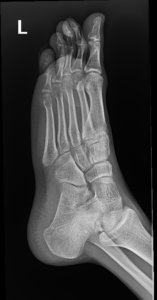
- Foot Fractures.

















































